Before

Soft Tissue Grafts Before

After

Soft Tissue Grafts After

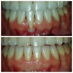
Exposed tooth roots are the result of gum recession. The procedure for preventing additional bone loss and recession is called gum graft surgery. Soft Tissue Grafts, which provide regeneration of your gums, is a procedure that can be done prior to Porcelain Crowns that your General Dentist provides.

The goal is to create a zone of gum tissue to prevent further recession and to attain whatever root covering as possible. The root coverage is not guaranteed and not the primary goal of the graft.

soft tissue regeneration
soft tissue regeneration
soft tissue regeneration

Before Gum Graft Surgery

Before Gum Graft Surgery

After Gum Graft Surgery

After Gum Graft Surgery

Before Gum Graft Surgery

Before Gum Graft Surgery

After Gum Graft Surgery

After Gum Graft Surgery

Soft Tissue Grafts can be used to cover exposed roots and handle excessive gingival recession that is the reason for the lack of gum tissue. The procedure assists in developing additional gum tissue. During gum graft surgery, Dr. Fialkoff will cover the exposed root for one tooth or several teeth. The goal is to even your gum line and reduce the sensitivity in your mouth.

WHAT ARE THE BENEFITS OF SOFT TISSUE GRAFT SURGERY?

Happy Patient Benefits of Soft Tissue Graft Surgery

It is important to prevent / reduce additional bone loss and gum recession in your mouth. This is one of the purposes of the gum graft. Sometimes this procedure is used to cover exposed roots so as to protect them from decay. Covering your roots may also assist in reducing any sensitivity of the teeth and to overall improve the aesthetics of your smile. Whether you have a soft tissue graft to improve the aesthetics or function of your mouth, you will likely receive the benefits of both: improved periodontal and overall oral health and a beautiful, enhanced smile. This is the route to speaking, eating and smiling with confidence and comfort.

Please note that covering the roots is unpredictable and no guarantee can be given as to the final coverage or lack of. These pictures are only examples and not guaranteed results.

Contact Dr. Bernard Fialkoff