Two implants area used to create a completely normal looking mouth.

Dental Implants to Replace Missing Teeth

Dental implants are a modern and effective way to replace missing teeth. As dental implant technology has improved, dental implants have become more and more the procedure chosen by patients needing to replace teeth. The difference is completely stunning. For anyone who has struggled with the tremendous problems associated with dentures, imagine for a moment that you have have a full set of teeth back. Well that is exactly what it is like when you have your missing teeth replaced by implants. Also those who are facing a decision to have a bridge. Why? Why not have a full set of teeth that feel and work exactly like your original ones? If you are missing teeth and have not considered implants, you are missing an incredible option for you needs. To find out more, click here to watch our video presentation

If you have suffered from periodontal disease, been subject to an injury, or if you have lost a tooth or several teeth due to some other reason, dental implants are an option for you. A dental implant is a fixture that is placed in your jaw and which imitates your tooth’s root. The implant then can to hold a new, replacement tooth or a bridge.

Before Dental Implants

Before Dental Implants

After Dental Implants

After Dental Implants

ARE YOU A CANDIDATE FOR DENTAL IMPLANTS?

If you are in good oral and overall general health, you are an ideal candidate for dental implants. In order to have a successful dental implant that is supported in your mouth, you need to have enough bone in your jaw. Those who have healthy gum and are free of periodontal disease, are the best candidates for dental implants. However, in this case, Dr. Bernard Fialkoff is able to address any periodontal issues so that you can be in a position where your dental implants are possible and successful. In order to have successful implants, your gum tissues and bone in your mouth need to be in good condition. Periodontists are the dental specialists who are expert in handling these areas of your mouth so that you can become a candidate for dental implants. Periodontists work with your general dentist to ensure that the end result of your treatment is teeth that feel and look like your own.

Your dentist and periodontist will work together to make
your dreams come true.

Before: Space in Teeth—Site for Implant

Before: Space in Teeth—Site for Implant

After: Natural Looking Teeth Replace Missing Tooth

After: Natural Looking Teeth Replace Missing Tooth

Please note that these pictures are examples of results and that individual results may vary.
No guarantee can be given as to the exact result.

WHAT IS A DENTAL IMPLANT PROCEDURE LIKE?

Dental Implant Surgery and Crown placement is done as a team among you, your dentist and Dr. Bernard Fialkoff. Dr. Fialkoff and your dentist will consult with you to determine how and where your implant should be placed. Depending on the type of implant chosen and any condition you may have, Dr. Fialkoff will create a treatment plan tailored to meet your needs.

  • Replacing a Single Tooth: One implant and one crown replace your missing tooth.
  • Replacing Several Teeth: For those who are missing several teeth, you may get an implant-supported bridge that will replace them.
  • Replacing All of Your Teeth: An implant-supported full bridge or full denture can replace all of your missing teeth.
  • Sinus Augmentation: Implants are most successful when placed in an area with a lot of bone. One of the more difficult areas in which to place dental implants is the upper back jaw of your mouth. The reason for this is that area usually has insufficient bone and is also very close to your sinus. The procedure called Sinus Augmentation can assist in correcting this problem by raising the floor of your sinus, placing bone in the area and allowing dental implants to now be placed.
  • Ridge Modification: If you have in adequate bone in your upper or lower jaw due to any deformities, it will be difficult to place implants. To handle this issue, Dr. Fialkoff raises the gum and fills bone into the area with the defect. This procedure is called Ridge Modification. This procedure can greatly improve your chances with dental implants so that they are long lasting and successful for many years.

WHAT CAN I EXPECT AFTER RECEIVING A DENTAL IMPLANT?

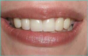
In order to maintain a beautiful and healthy smile, you will need to regularly visit your dentist and keep up your at-home oral health care. Dental implants are like having a second chance at your own teeth and so will require daily brushing and flossing. It is important to keep your implant clean and plaque-free. Upon completion of your treatment plan, Dr. Fialkoff will work closely with you and your dentist to ensure that you have a good oral health care plan that you can maintain for years to come. Our office will monitor your gums, teeth and implants with periodic follow-up visits to ensure that they remain healthy. Implant Teeth: The front teeth are implant crowns that your dentist places over implants that Dr. Fialkoff surgically places. Please note that these pictures are examples of results and that individual results may vary. No guarantee can be given as to the exact result.

Final Product—A Beautiful Smile!

Final Product—A Beautiful Smile
Beautiful Natural Looking Smile

Implant Teeth: The front teeth are implant crowns that your dentist places over implants that Dr. Fialkoff surgically places.

Please note that these pictures are examples of results and that individual results may vary. No guarantee can be given as to the exact result.

CONSEQUENCES OF MISSING TEETH

  • Bone loss causing premature aging and a collapsed appearance of the face. The skin, lips, overlying cheek and nose are all supported by the facial bones. When these bones degenerate, they directly affect these structures and result in a collapsed facial appearance and premature aging. Dental implants, mimic natural teeth and therefore, encourage bone growth, halting this aging process. The jaw bone is used when eating, which forces the facial bones to maintain their volume, density, and shape. Dentures and bridges do not encourage or maintain jaw bone, and therefore, without dental implants, there is no jaw bone to stimulate the facial areas. Therefore, it can be said that without replacing your missing teeth or failed teeth with implants and choosing to get dentures or bridges instead, will result in severe facial bone loss.
  • Speech problems. If one chooses to get dentures to handle several or all missing or failing teeth, they end up covering many of the surface of the mouth including the palate. Because of this, the tongue is limited in its movement and this results in impaired speech and pronunciation of words.
Bone Loss, Speech Problems, and Facial Changes Are Consequences of Missing Teeth
X Rays Of Mouth With Missing Teeth
  • Remaining teeth are prone to infections, decay and fractures. The way that Bridges work is that they are anchored to the surrounding teeth. To do this, those adjacent teeth are cut to nearly half of their size. The Bridge is then placed and hooked on to this weakened tooth. Over time, this overloads the surrounding teeth and so they can break, decay, get infected, and therefore cause additional tooth loss.
  • Periodontal / Gum disease. Flossing becomes very difficult with a bridge, as the bridges connects 3 or more teeth together. The mouth is now prone to gum disease due to the compromised oral hygiene. Those patients who choose to get dentures or bridges become more susceptible to getting periodontal / gum disease.
Dentures
Changes On Facial Structure Before and After Tess Loss
  • Social Life. Dentures can cause uncomfortable situations in one’s social life. Some patients express concern over romantic situations, others choose to only leave their home when absolutely necessary.
  • Systemic Health. Your ability to chew is dramatically affected by dentures – dentures make it more difficult to eat and chew your food. Patients who have dentures start eating less vegetables, fruits, and foods with Vitamin A which causes systemic and digestive disorders. They end up taking more supplements or drugs as compared to those who get dental implants. Additionally, the inability to chew and swallow can cause digestive disorders.
  • Taste. Dentures cover a large amount of area of the mouth and therefore, block your sensation of taste. With dental implants, you are able to continue enjoying the food you eat, while dentures may make this much more difficult.
dental implants
dental implants
dental implants
dental implants

Contact Dr. Bernard Fialkoff